Skip Menu
Continue

118 Great Road, Stow, MA 01775
(978)-897-9342
  • Home
  • About Us
    • Our Office
    • New Patients
    • Covid-19 Protocol
    • Smile Gallery
    • Dental Videos
    • Testimonials
  • Meet Our Doctors
    • Margaret Klepacz, DDS
    • Alyssa Emmons, DDS
  • Meet Our Team
  • Services
      • CEREC® Crowns
      • Crowns & Caps
      • Dental Bridges
      • Dental Fillings
      • Digital Radiography
      • Emergency Treatment
      • Implant Dentistry
      • Night Guards
      • Oral Exams
      • Pediatric Dentistry
      • Periodontal Treatment
      • Preventive Program
      • Sports Mouthguards
      • Teeth Whitening
      • Veneers
    • View All
  • Dental Health
  • Contact
    • Contact Us
    • Request Appointment

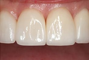
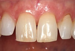
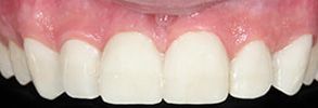
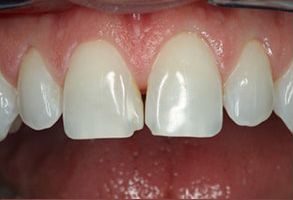
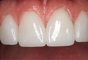
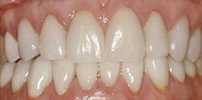
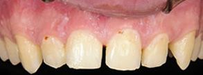
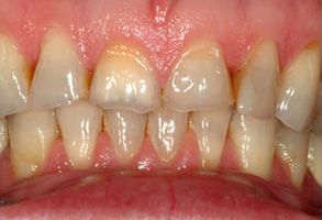
Smile Gallery